If you need a dental crown to prevent tooth collapse or repair broken or decayed teeth, it's essential to consider your options carefully.
Different materials are available for dental crowns, but porcelain crowns, especially from a particular dental ceramic, offer the most natural look and functionality and provide excellent value.
Porcelain fused to metal (PFM) crowns are dental crowns used by dentists to treat tooth decay and cracks. These crowns are reinforced with a metal framework and consist of a metal shell coated with porcelain, which makes them both durable and cost-effective.
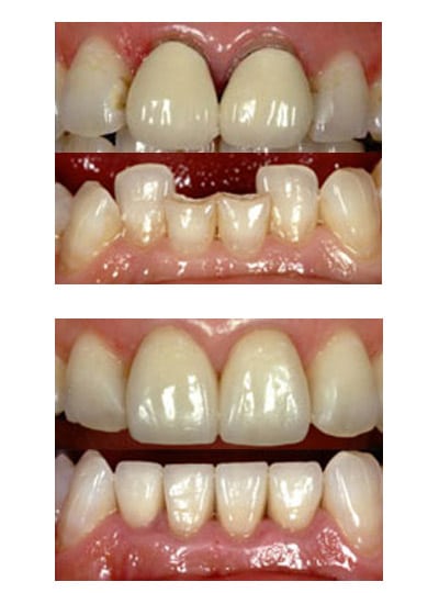
PFM crowns have a metal-alloy interior and a porcelain exterior comparable in strength to all metal crowns. However, it is essential to note that as these crowns age, a visible metal edge can sometimes appear around the crown, as shown in the illustration below.
As we age, our gums gradually begin to recede. PFM crowns placed when you were younger will become more noticeable as your gums recede, causing a dark or black line to appear near the edge of your gums.
In these before-and-after photos, you can see a patient with old porcelain fused to metal crowns on her front teeth. Our team took a cosmetic approach to replacing these restorations, achieving beautiful results that closely resemble a tooth's natural vitality. This approach eliminated the dark edge along the gum line. We were honored with an AACD award for addressing and successfully fixing a dark gumline issue with exceptional artistic expertise.
Using modern technology, we can now create durable, natural-looking, metal-free porcelain crowns. These crowns seamlessly blend with your natural teeth, providing exceptional aesthetics, functionality, and longevity. By working exclusively with state-of-the-art materials and top dental labs, we ensure that your crown seamlessly integrates with the natural beauty of your smile.
What Are the Other Types of Dental Crowns?

List of Crown Types:
• Gold Crowns
Gold crowns are highly durable and robust and are therefore widely used in the restoration of posterior teeth.
Gold dental crowns are recommended for patients who have a habit of chewing hard foods along with clenching and grinding.
• Porcelain Crowns
Porcelain crowns are the most commonly used type of crown due to their natural appearance and metal-free construction.
The difference in how they are made results in their naming; the ceramic crown contains a mixture of porcelain and other non-metal material, and the porcelain crown has only dental porcelain.
• Porcelain Fused to Metal/PFM Crowns
Porcelain fused to metal crowns is cheaper, and they look like natural teeth, but the metallic composition of the crown's underside may cause gray or dark gum lines. Since porcelain is baked into metal basel, the porcelain will come off or chip.
• Zirconia Crowns
Zirconia crowns are made of zirconium dioxide, which is more rigid and robust than porcelain and has excellent aesthetics and strength. The zirconia crown can only be carved with CAD/CAM-supported milling machines.
• E-Max Crowns
Emax crowns are made from lithium disilicate ceramic, hold similar durability, appearance, and price to zirconia crowns. The E-max crowns are more expensive than the zirconia crowns.